2025年6月29日,对于31岁的邰某来说,是生命中最危急的一天。在农田劳作时突发癫痫抽搐,他重重摔入泥泞中,大量淤泥随着剧烈呛咳侵入肺部。当家属将意识模糊的患者送入我院急诊科时,血氧饱和度已跌至危险区间,口唇发绀,双肺布满湿性啰音——死神正悄然逼近。
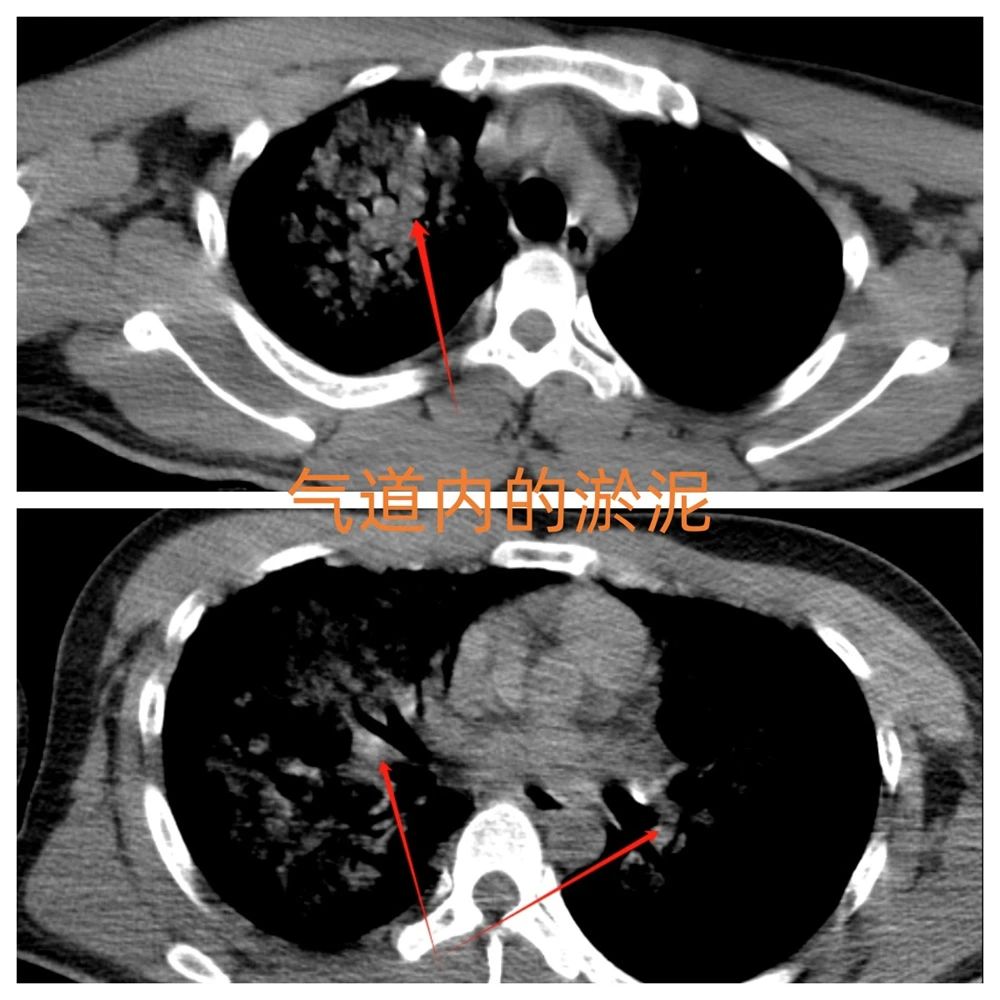
急诊科医护团队迅速启动多学科协作,在重症医学科主任黄智指导下高级生命支持,气管插管、呼吸机辅助通气、抗感染治疗一气呵成。胸部CT显示双肺弥漫性磨玻璃影,宛如被泥浆覆盖的海绵。这个年轻的生命,正被重症肺炎、癫痫持续状态、高处坠落伤三重危机裹挟,紧急转入重症医学科(ICU)。
“气道内的淤泥不清除,所有治疗都是隔靴搔痒。”重症医学科主任黄智在查房时坚定地说道。团队迅速与呼吸与危重症医学科展开多学科联合会诊,一致认为唯有支气管镜下肺泡灌洗才能清除气道异物。随即科室护理团队及呼吸科气管镜室内的紧急消毒和科室病房的术前准备着。

镜下重生:毫米之间见真章
在呼吸与危重症医学科主任吴德生的指导下,治疗团队在床旁为患者实施支气管镜检查。镜下画面触目惊心:气管及各级支气管内棕褐色淤泥团块,部分亚段支气管已阻塞。医护人员屏气凝神,通过生理盐水灌洗、负压吸引等精准操作,历经50分钟将气道内异物逐一清除。术后患者氧合指数逐步上升,呼吸机参数显著下调。
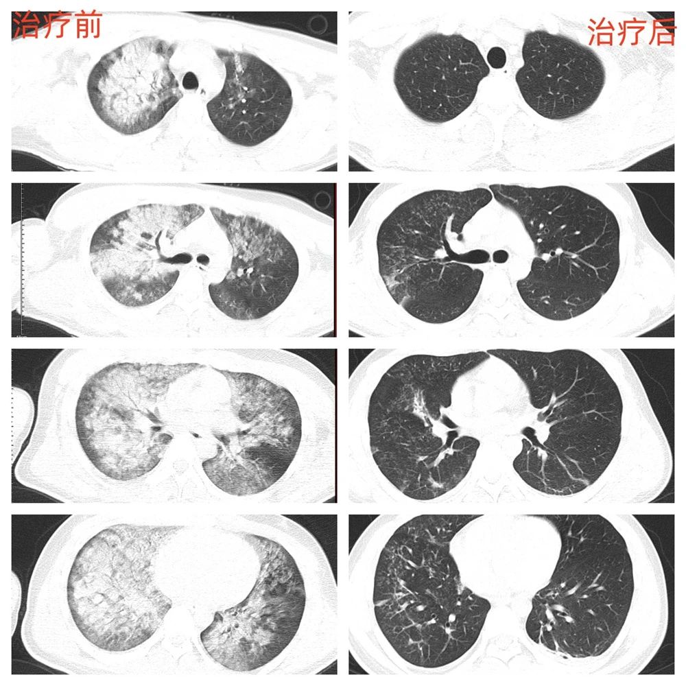
两天后,第二次支气管镜治疗顺利实施。当镜端探入曾经被完全阻塞的右下叶基底段时,清晰的支气管黏膜已开始恢复正常红润色泽。这个细微的变化,让连续守护在病床旁的主治医师激动地记录:“镜下可见新生的希望!”
生命礼赞:从ICU到阳光下
经过两周精心治疗,邰某不仅成功脱离呼吸机,转回呼吸与危重症医学科治疗后康复出院。出院那天,这对年轻的夫妻俩捧着锦旗,在科室的大门前和医护人员合影留念。
这场生命救援的背后,是重症医学科和呼吸与危重症医学科无缝协作的典范,是多学科协作谱写重症救治奇迹,在生死交界处点亮了希望之光。


贵公网安备 52262902000137号